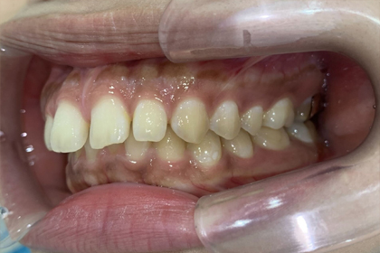
Before
After
| 治療内容 | テキストが入ります。テキストが入ります。 |
|---|---|
| 治療期間 | テキストが入ります。テキストが入ります。 |
| 通院期間 | テキストが入ります。 |
| 費用 | テキストが入ります。テキストが入ります。 |
| リスク、副作用 | テキストが入ります。テキストが入ります。 |
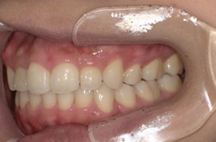
Before
After
| 治療内容 | テキストが入ります。テキストが入ります。 |
|---|---|
| 治療期間 | テキストが入ります。テキストが入ります。 |
| 通院期間 | テキストが入ります。 |
| 費用 | テキストが入ります。テキストが入ります。 |
| リスク、副作用 | テキストが入ります。テキストが入ります。 |
Before
After
| 治療内容 | テキストが入ります。テキストが入ります。 |
|---|---|
| 治療期間 | テキストが入ります。テキストが入ります。 |
| 通院期間 | テキストが入ります。 |
| 費用 | テキストが入ります。テキストが入ります。 |
| リスク、副作用 | テキストが入ります。テキストが入ります。 |
Before
After
| 治療内容 | テキストが入ります。テキストが入ります。 |
|---|---|
| 治療期間 | テキストが入ります。テキストが入ります。 |
| 通院期間 | テキストが入ります。 |
| 費用 | テキストが入ります。テキストが入ります。 |
| リスク、副作用 | テキストが入ります。テキストが入ります。 |
Before
After
| 治療内容 | テキストが入ります。テキストが入ります。 |
|---|---|
| 治療期間 | テキストが入ります。テキストが入ります。 |
| 通院期間 | テキストが入ります。 |
| 費用 | テキストが入ります。テキストが入ります。 |
| リスク、副作用 | テキストが入ります。テキストが入ります。 |
当院の症例紹介
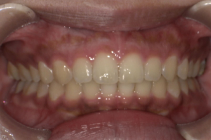
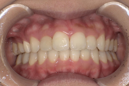
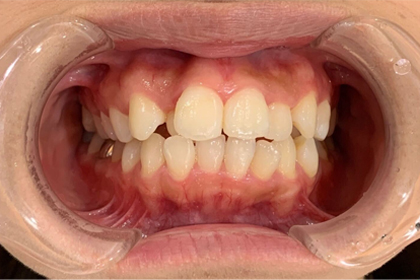
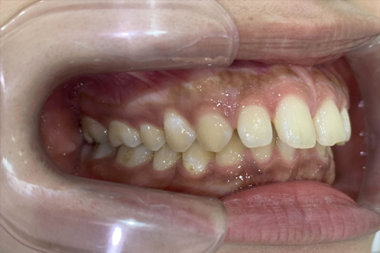
Case① 20代女性


前
次
Before
>
After
| 施術内容 | 叢生と過蓋咬合を伴う上顎前突症例と診断し、非抜歯にてマルチブラケット法(ワイヤー矯正)で治療した。 |
|---|---|
| 主訴 | 前歯が出ている。口元が出ていて、口唇が閉じづらい。 |
| 治療期間 | 24ヶ月 |
| リスク・副作用 | 虫歯と歯周病、歯根吸収、歯の失活、歯肉退縮、歯根露出、顎関節症 |
| 費用 | 930,000円 別途、調整料 |
Before
>
After
Before
>
After
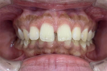
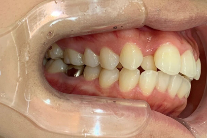
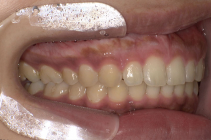
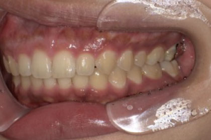
Case② 20代女性


前
次
Before
>
After
| 施術内容 |
叢生と診断し、上下顎左右第一小臼歯を抜歯し、マルチブラケット法にて治療した。 |
|---|---|
| 主訴 | 全体的に歯がガタガタ、口元が出ている。 |
|
治療期間 |
25ヶ月 |
| リスク・副作用 | 虫歯と歯周病、歯根吸収、歯根吸収、歯の失活、歯肉退縮、歯根露出、顎関節症 |
|
費用 |
930,000円 別途、調整料 |
Before
>
After
Before
>
After
症例紹介CASE
Case① 20代女性


前
次
| 施術内容 |
施術内容 叢生と過蓋咬合を伴う上顎前突症例と診断し、非抜歯にてマルチブラケット法(ワイヤー矯正)で治療した。 |
|---|---|
| 主訴 | 前歯が出ている。口元が出ていて、口唇が閉じづらい。 |
|
治療期間 |
24ヶ月 |
| リスク・副作用 | 虫歯と歯周病、歯根吸収、歯根吸収、歯の失活、歯肉退縮、歯根露出、顎関節症 |
|
費用 |
930,000円 別途、調整料 |
Case② 20代女性


前
次
| 施術内容 |
叢生と診断し、上下顎左右第一小臼歯を抜歯し、マルチブラケット法にて治療した。 |
|---|---|
| 主訴 | 全体的に歯がガタガタ、口元が出ている。 |
|
治療期間 |
25ヶ月 |
| リスク・副作用 | 虫歯と歯周病、歯根吸収、歯根吸収、歯の失活、歯肉退縮、歯根露出、顎関節症 |
|
費用 |
930,000円 別途、調整料 |
